Ultrason
Ultrason (US) pratik ve hızlı bir görüntüleme yöntemidir. Ses dalgalarını kullanarak yapıldığından bilinen bir yan etkisi yoktur, bu nedenle gebeliklerde sık tercih edilen bir görüntüleme yöntemidir.
Pediatrik nörolojide kullanım alanları:
- Prematürelerde beyinde kanama ve zedelenme takibi
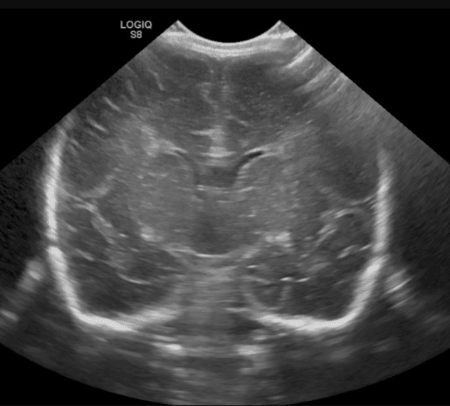
- Bıngıldağın açık olduğu yaşlarda:
Beyin dokusunun görüntülenmesi
Hidrosefali takibi - Tortikolis‘de SCM kasının değerlendirilmesi
- Kas hastalıklarında tutuluma yönelik bulgu saptanması
- Spastisite için Botox uygulamalarında kasın görüntülenmesi
- Spina bifida taraması
Diğer görüntüleme yöntemlerine göre dokuya yönelik detay kısıtlıdır. Buna ihtiyaç olan durumlarda BT veya MR gibi testlere başvurulur.
Düzenleme: Şubat 2025


